高血压可致盲?预防高血压眼病应做到这几点

湘潭仁和爱尔 2023年12月12日

高血压患者要重视自测血压,及时了解血压状况,提高治疗依从性,以便更好地控制血压。因为高血压不仅会导致心、脑等器官受损,还可能出现高血压眼病。

01.认识高血压
提及高血压,大家都不陌生。它是一种极为常见的慢性非传染性疾病,发病率非常高,但往往起病隐匿容易被忽视,被称为人类健康的“无声杀手”,且近十余年来呈明显的年轻化趋势。
在未使用降压药物的情况下,非同日3次血压测量收缩压≥140mmHg和(或)舒张压≥90mmHg,可诊断为高血压。
据2020年《中国居民营养与慢性病状况》报告数据统计,我国18岁以上人群中,高血压的患病率达27.5%,总人数约为3亿,但只有不到一半的患者知晓自己患病并进行治疗,其中仅四分之一的患者血压得到有效控制。
高血压如果长期控制不佳,可能导致脑卒中、心肌梗死、心衰、肾衰、高血压眼病等严重并发症。当患者出现视物模糊、眼睛疼痛、眼底出血等症状时,就要加以重视,及时到正规的眼科医疗机构就诊。
02.什么是高血压眼病?
通常情况下,很多高血压患者只知道通过吃药控制血压,但没想过高血压会带来眼睛的病变,因而从未到眼科就诊。
正常的眼底照片
高血压眼病,通常是指全身动脉血压持续性升高所导致的眼底相应改变。通常以眼底缺血、眼底出血较为常见,严重时可能会引发高血压性视网膜病变。
高血压性视网膜病变可分为4级:
Ⅰ级视网膜小动脉出现轻度狭窄、硬化、痉挛和变细,动脉反光增强。
▲高血压性视网膜病变Ⅰ级 
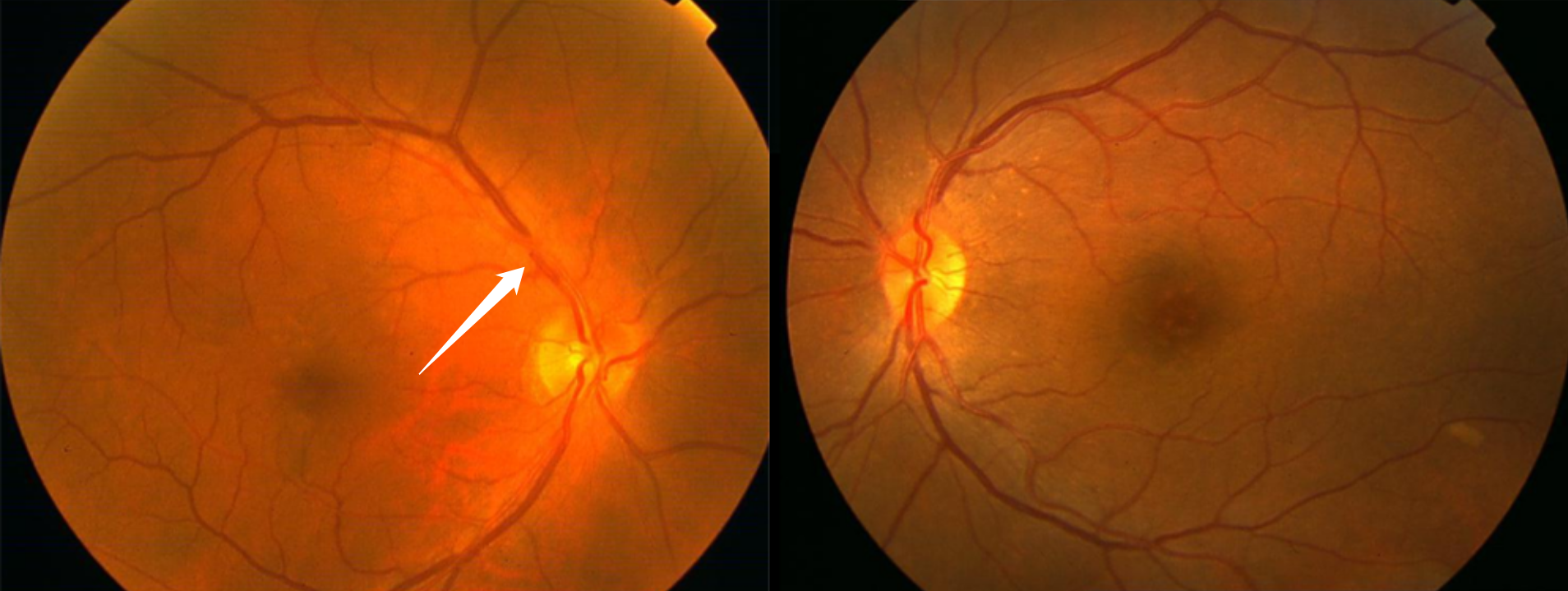
Ⅱ级小动脉呈中度硬化和狭窄,反光增强,呈铜丝状或银丝状,出现动静脉交叉压迫症,视网膜静脉阻塞。
视网膜静脉阻塞是高血压患者、中老年人患者眼底出血较为常见的病因。主要因其静脉血液回流受阻,形成静脉血栓,从而引起视网膜出血、水肿和渗出等病变。视网膜中央静脉阻塞,会出现视物变形、眼前黑影等症状,虽发病不如动脉阻塞急剧和严重,但如果长时间得不到治疗,可出现虹膜新生血管,并继发新生血管性青光眼,严重影响视力甚至失明。当突发视力下降、部分视野缺损,要引起重视,及时就医检查。
▲高血压性视网膜病变Ⅱ级
Ⅲ级动脉中度以上狭窄伴局部收缩,视网膜有棉絮状渗出、出血和水肿。
此时,由于动脉变细,血流缓慢,血管内壁粗糙、狭窄,很容易形成血栓阻塞眼动脉,进而引发视网膜动脉阻塞。由于视网膜对缺血缺氧的耐受极差,一旦发生视网膜中央动脉阻塞,患者视力会急剧下降,视野范围明显缩小,黄金急救时间为90分钟内,发病越久,视力恢复的机会越渺茫。因此,当患者突然出现迅速、无痛性视力下降,眼睛看不见,甚至没有光感,应立即到眼科医院就诊。
▲高血压性视网膜病变Ⅲ级
Ⅳ级视神经乳头(视盘)水肿并有Ⅲ级眼底的各种改变。
视神经乳头水肿是视神经乳头无原发性炎症的被动性充血水肿。常见于高血压患者,绝大多数是由颅内压增高所致,患者常有头痛、恶心、呕吐,同时会出现视野缩小或缺损等症状,如不及时治疗,待晚期视乳头水肿消退后,将形成继发性视神经萎缩,造成视力减退、视色异常、视觉丧失等不可逆的视力损害。
▲高血压性视网膜病变Ⅳ级
03.如何防治高血压眼病
1.控制血压
高血压患者需要及早进行正规治疗,遵医嘱按时按量服药,积极控制血压。
2.控制情绪
保持身心舒畅,避免情绪大幅波动。
3.合理用眼
 
保持作息规律,避免用眼过度。
4.适当锻炼
适当运动可控制体重,增加血管弹性,促进血液循环,有利于血压稳定。
5.四“低”饮食
 
饮食方面注意低盐、低脂、低胆固醇、低糖,多食用粗粮、豆制品、蔬菜水果等。
6.眼底检查
眼底病变的程度与高血压时间长短及其严重程度密切相关。一旦确诊为高血压,应立即检查眼底,若暂未出现高血压视网膜病变,应每年至少进行一次眼底检查。此外,有高血压、糖尿病、高度近视及神经系统、血管性疾病的眼底疾病高风险人群,需在医生的指导下增加检查频率,以便及时发现眼底病变,及时治疗。
日常生活中出现眼部不适、视物异常等情况,及时到医院就诊。早发现、早诊断、早治疗是应对大部分眼底病的关键。对于出现眼底病变,尤其是因高血压性视网膜病变引起并发症且有手术指征的患者,医生会根据患者情况采用如25G、27G微创玻璃体视网膜手术、非侵入性的YAG激光栓塞移除术、眼内微针注射、光动力学疗法(PDT)等,及时对患者进行对症治疗。